Before & Afters
Every smile has a story — and we’re proud to be part of so many amazing transformations. At Baptist Orthodontics, we combine expert care, digital precision, and personalized treatment to help our patients achieve results they’re excited to share. Check out some of our favorite before-and-after moments below!

Real Patients. Real Results.
Our gallery showcases the power of well-planned, beautifully executed treatment. Whether you’re considering braces or aligners, you’ll see what’s possible when expertise meets personalization — and when your smile is treated like one of a kind.
.jpeg)

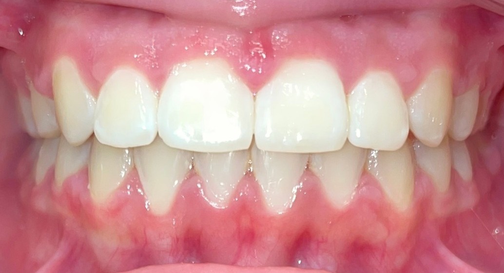
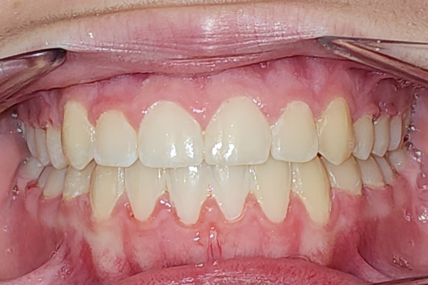
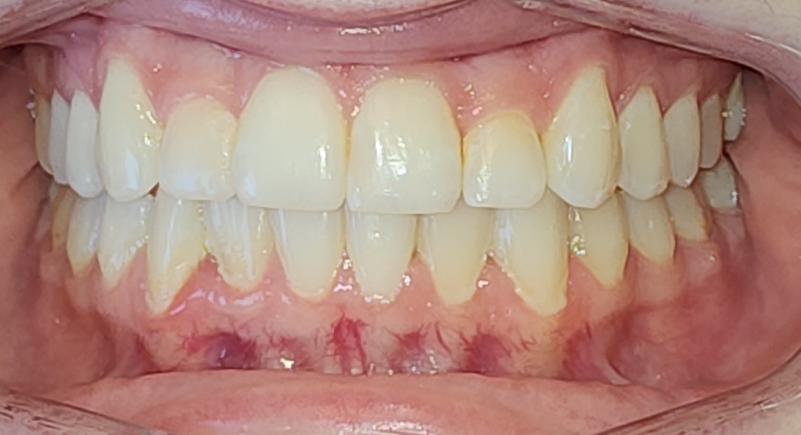
Mild-Moderate Crowding
This patient was treated with clear aligners for 18 months to straighten and properly align the teeth. Clear aligners are a great option because they’re nearly invisible, comfortable, and can be removed for eating and brushing.

.jpeg)
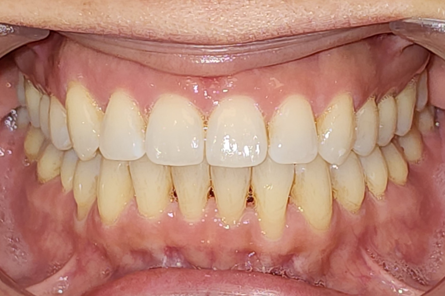
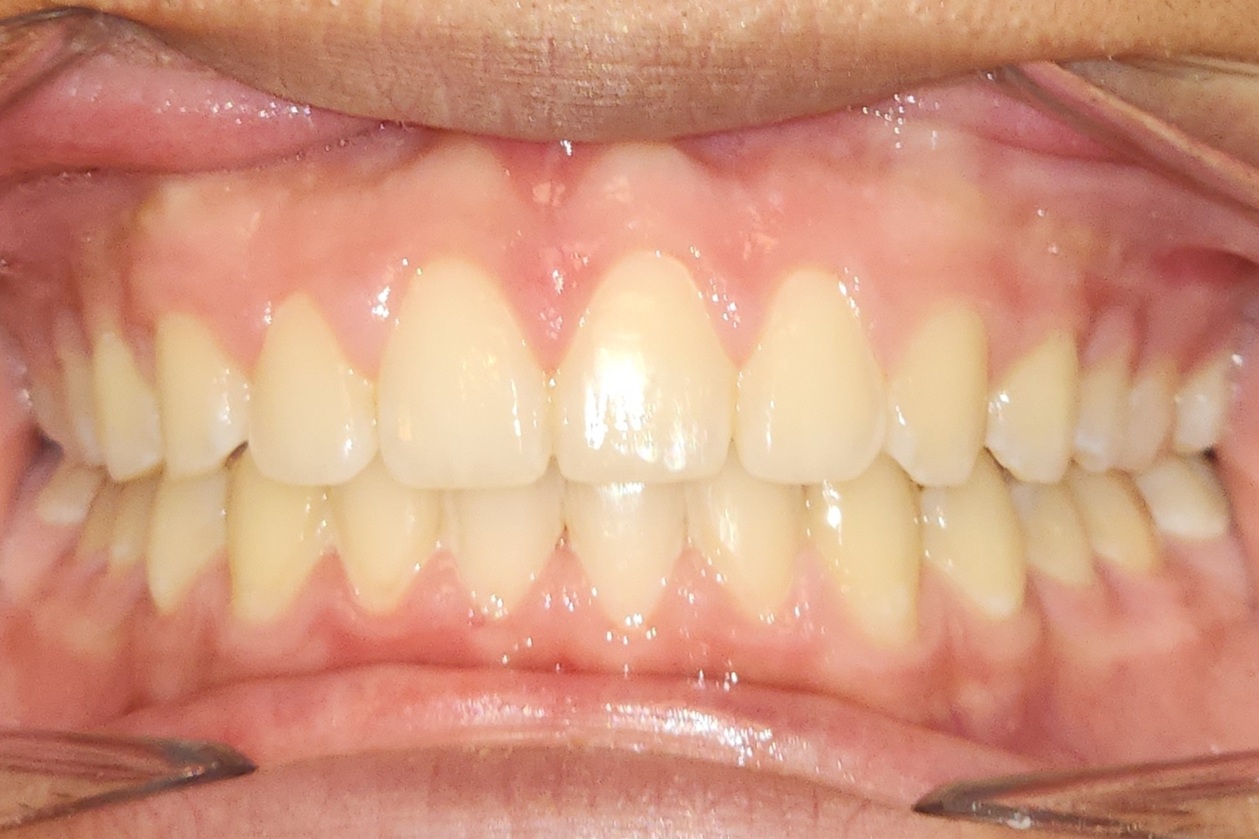
Mild-Moderate Crowding
This patient was treated with clear aligners for 18 months to straighten and properly align the teeth. Clear aligners are a great option because they’re nearly invisible, comfortable, and can be removed for eating and brushing.
.jpeg)

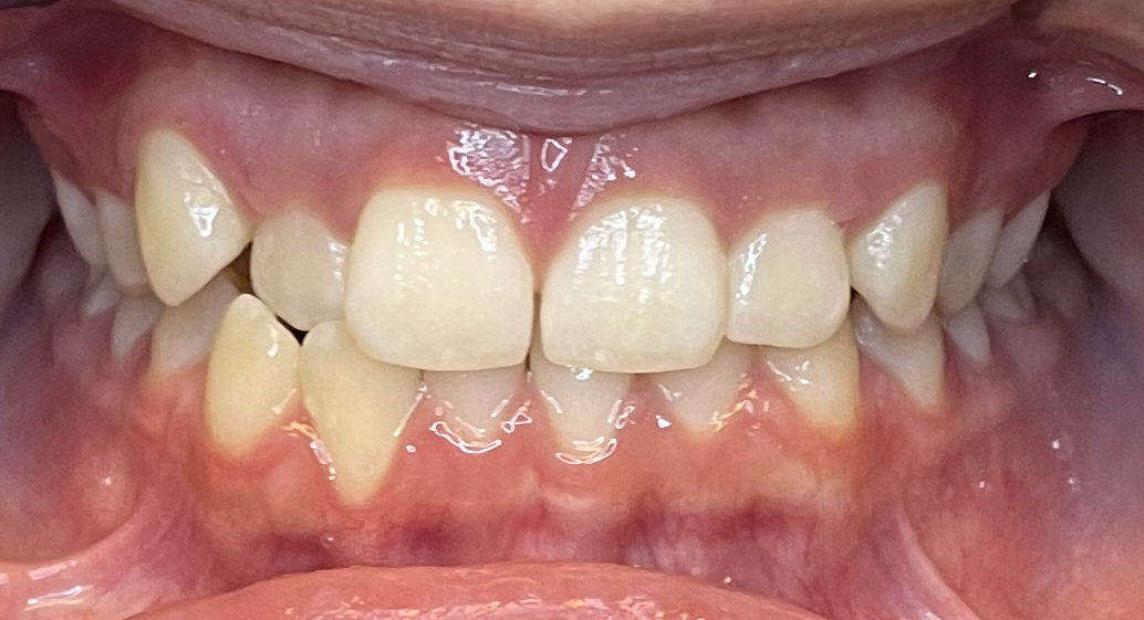
Ectopic ("Blocked Out") Upper Canines
This patient had severe crowding, which caused the upper canine teeth to come in too high and off to the side. Braces on both the top and bottom, along with the removal of two upper teeth, created enough space to guide the canines into their proper position. Over the course of two years, the bite was corrected and the teeth now fit together properly.
.jpeg)
.jpeg)
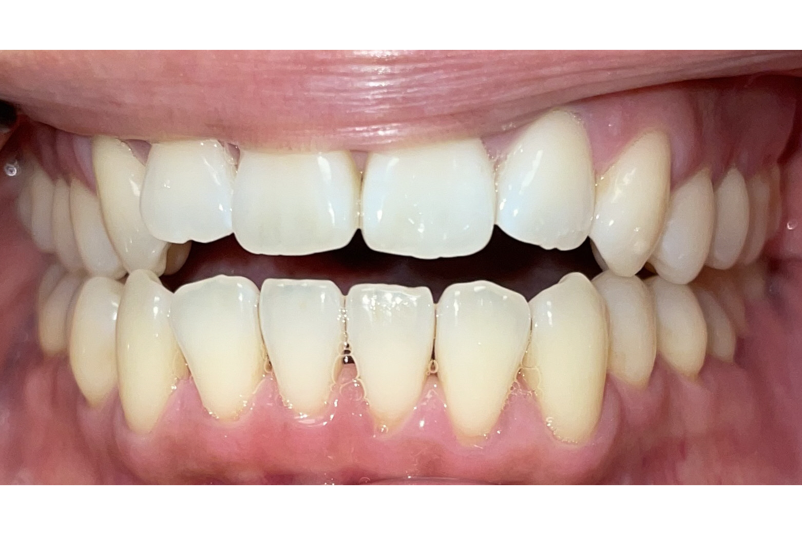
Anterior Openbite, Posterior Crossbite, & Crowding
This adult patient was treated with braces on both the top and bottom teeth, along with rubber bands to help move the front teeth down and create the proper overlap. Not only did this improve the appearance of the smile, but also made chewing and speaking more comfortable. While adult anterior openbites sometimes require jaw surgery, this patient’s commitment to wearing rubber bands allowed Dr. Baptist to achieve an excellent result with braces alone.
.jpeg)
.jpeg)
Anterior Openbite, Posterior Crossbite, and Severe Crowding & Flaring
This adult patient had a severe anterior openbite, meaning her front teeth didn’t overlap when she bit down. She also had bilateral posterior crossbites, where her upper back teeth were narrower than her lower back teeth. This type of bite problem often requires jaw surgery, but the patient wanted to avoid that option. Instead, she was treated with 2.5 years of braces and rubber bands, including the extraction of two upper premolars and retraction of the front teeth to correct the openbite and flaring, while the upper arch was widened to improve the back bite. The result was a dramatic improvement in both her smile and facial profile.
.jpeg)
.jpeg)
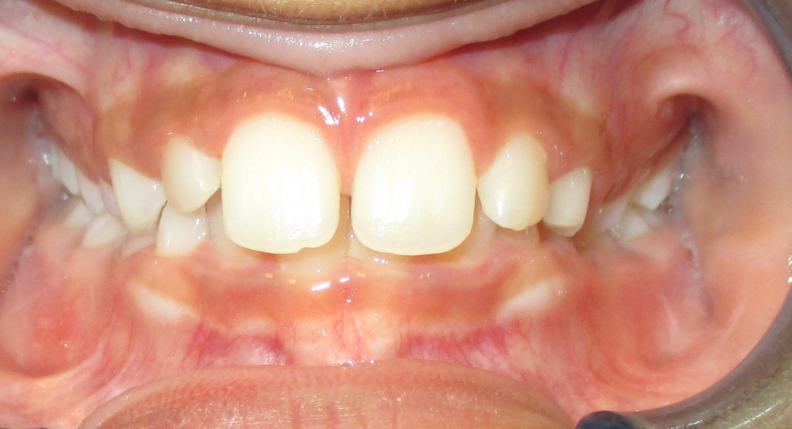
Impacted Canine, Anterior Crossbite, & Crowding
This patient had an upper right canine that was stuck under the gums because there wasn’t enough space for it to come in. She also had a shifted midline, severe crowding, and an anterior crossbite with the lateral incisors. If left untreated, crossbites can lead to permanent enamel wear and even cause the jaw to grow unevenly in children. With two years of braces on both the top and bottom, enough space was created to bring the impacted tooth into place and correct the bite for a healthy, beautiful smile.
.jpeg)

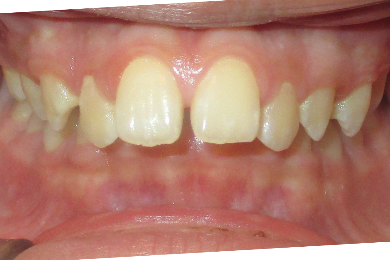
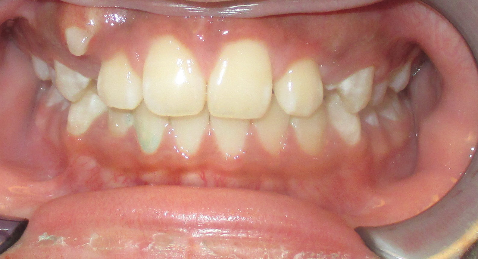
Anterior Crossbite and Crowding
This patient had an anterior crossbite, meaning one of the upper front teeth was biting behind the lower teeth instead of in front, along with significant crowding on the top and bottom teeth. If left untreated, crossbites can lead to permanent enamel wear and even cause the jaw to grow unevenly in children. With two years of braces, the bite was corrected and the teeth were aligned into a healthier, more balanced position.

.jpeg)
Impacted Canines & Moderate-Severe Crowding
This patient had two adult canine teeth that were stuck under the gums in the upper jaw. With braces on both the top and bottom teeth, along with a minor surgical procedure to uncover the canines, the teeth were gently guided into their proper place. Before starting braces, the patient also had fillings completed, and together these steps created a healthy, well-aligned smile.
.jpeg)
.jpeg)
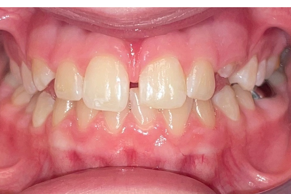
Moderate Spacing
This patient was treated with braces on both the top and bottom teeth to close spaces and straighten her smile. Since her jaws were already well aligned, treatment was efficient and she achieved her results in just 18 months!

.jpeg)
Narrow Palate, Flared Teeth, Spacing, & Severe Overjet ("Overbite")
This patient had two phases of orthodontic treatment to fully improve her smile. Phase I began at age nine and lasted about a year, using an expander and braces to widen the upper jaw and reduce the flaring of the front teeth. Phase II with upper and lower braces started at age 13 and focused on fine-tuning the bite and aligning the teeth for the best final result.

.jpeg)
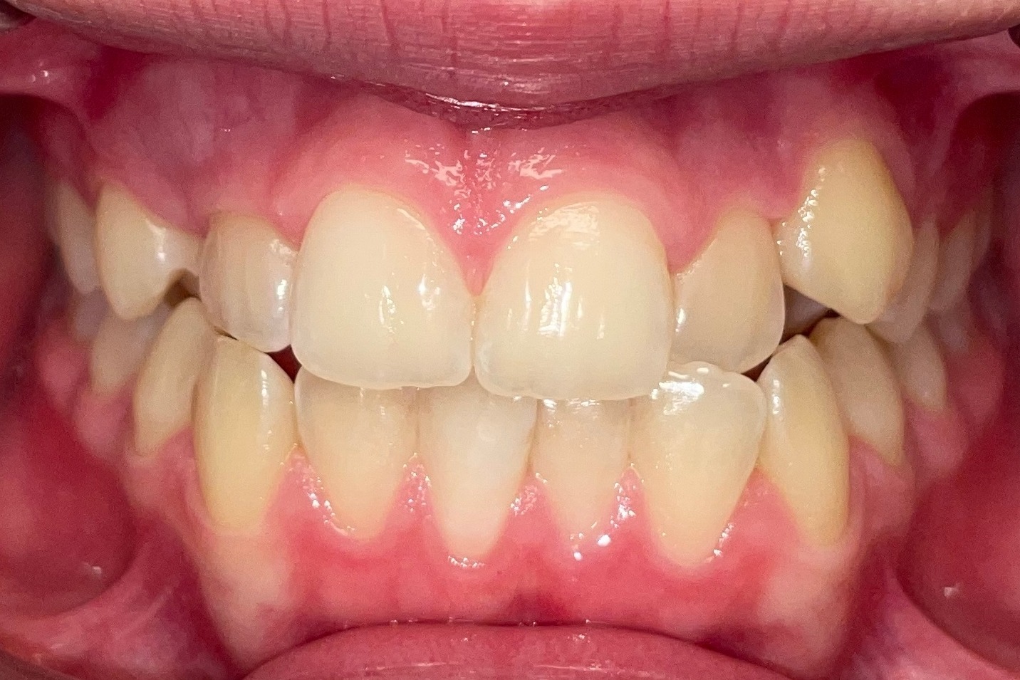
Moderate Crowding & Severe Overjet ("Overbite")
This teenager was treated with braces on both the top and bottom teeth, along with rubber bands, to fix crowding and an overjet (commonly referred to as "overbite"). Before treatment, the front top teeth were significantly flared forward, but treatment brought them into a straighter, healthier, and more natural position. Because he stayed on top of brushing and wore his rubber bands as instructed, he finished with an excellent result and a confident smile!
