Early Interceptive Orthodontics | Phase 1In Champaign, IL
Starting orthodontic care for your young child may seem drastic to some people. However, by beginning proactive care early, we can help minimize or even eliminate their need for more extensive treatments in the future, such as extraction of adult teeth and jaw surgery. It can also give children a boost in self-esteem, especially if they’ve been feeling self-conscious or experiencing teasing from their peers. Give your child a lifetime of healthy smiles.

Why Should I Choose Early Interceptive Orthodontics?
Because the sooner you get treatment for your child, the better the alignment of their teeth and jaws will be. Orthodontic problems often become apparent as early as the age of 7. By using special early orthodontic treatments, orthodontists can correct a lot of these problems while your child’s jaws are still growing, and before all of their permanent teeth erupt. This is known as “Phase 1” orthodontic treatment. Getting phase 1 treatment can simplify your child’s future treatment with braces, and often eliminates the need to extract permanent teeth or undergo jaw surgeries in most cases.

No More Messy Impressions
With our intraoral scanner, we’re able to create accurate 3D models of your child’s teeth, gums, and jaw structure, all without the need for messy impressions. These images allow us to create the most efficient treatment plans, and even make their final retainers without ever needing a goopy impression!
.jpeg)

Options For Every Budget
We believe that everyone deserves a chance at a healthy smile, and that’s why we do everything we can to make paying for dental care as easy as possible.
Flexible Financing
Insurance-friendly office
Healthcare financing
Membership plans available
Focused on Prevention, Not Over-Treatment
Just because your child comes in at age 7 doesn’t mean they’ll need braces right away. We believe in watching, guiding, and stepping in only when it benefits your child’s long-term development.

The Benefits of Phase 1 Orthodontics
Develop A Healthy Bite
Phase 1 orthodontics is particularly important in patients who may have serious jaw problems or a narrow palate. These issues can interfere with the development of a healthy bite. In the future, this could lead to problems when the permanent teeth erupt, speech impediments, premature tooth wear, and uneven jaw growth. With early interceptive orthodontics, these complex issues can be reduced or eliminated.
Reduce Tooth Misalignment
Early interceptive orthodontics helps the adult teeth erupt in the proper places, and can reduce or even eliminate the misalignment of adult teeth. This improves your child’s smile and oral health.
Increase Self-Esteem
Phase 1 orthodontics can help a child feel more confident about their smile, even if there are no pressing functional concerns. Improving the appearance of their teeth early on can boost self-esteem and reduce the risk of self-consciousness or teasing from peers.
The Early Interceptive Orthodontics Treatment Process
Initial Consultation & Personalized Treatment Plan
Initial Consultation & Personalized Treatment Plan
First, your child will need to have an appointment with our experienced orthodontist, Dr. Baptist. Dr. Baptist will take detailed x-rays, perform a comprehensive exam, and assess their overall oral health to determine if your child needs phase 1 orthodontics.
If your child is approved for treatment, Dr. Baptist will develop a customized treatment plan. This could include special braces, habit appliances to help with things like thumb-sucking, palate expanders, and a variety of other treatments. Every child is different, so Dr. Baptist will discuss her plan with you and schedule all of the necessary follow-ups and checkups.
Regular Orthodontic Check-Ups
Regular Orthodontic Check-Ups
Phase 1 orthodontics typically takes about 12 months, though some patients may have shorter or longer treatment times. During this time, your child will come back to our office for frequent visits with Dr. Baptist. She will check on their oral health, examine their progress, and make sure everything’s on track. This same process will continue until your child’s treatment is complete.
Final Retainer(s) & Observation
Final Retainer(s) & Observation
After completing Phase I treatment, kids will receive a custom retainer to maintain their new smile and keep their teeth in the correct position. They’ll then be placed into our observational program, where we monitor growth and dental development with periodic checkups. This ensures we can time Phase II treatment, if needed, for the best possible results.

.jpeg)
.jpeg)
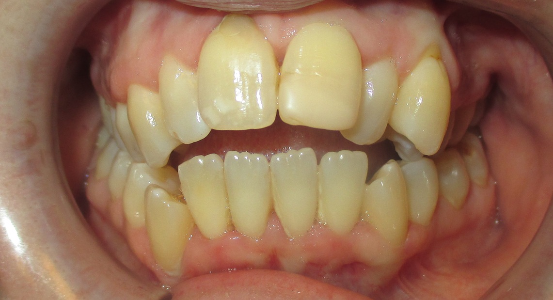
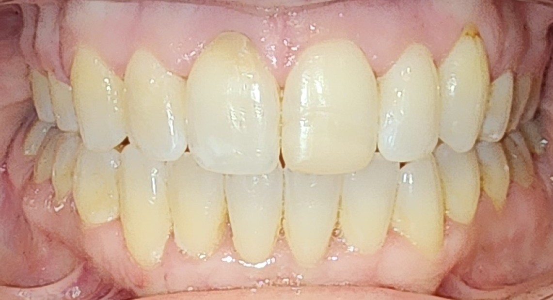
Anterior Openbite, Posterior Crossbite, and Severe Crowding & Flaring
This adult patient had a severe anterior openbite, meaning her front teeth didn’t overlap when she bit down. She also had bilateral posterior crossbites, where her upper back teeth were narrower than her lower back teeth. This type of bite problem often requires jaw surgery, but the patient wanted to avoid that option. Instead, she was treated with 2.5 years of braces and rubber bands, including the extraction of two upper premolars and retraction of the front teeth to correct the openbite and flaring, while the upper arch was widened to improve the back bite. The result was a dramatic improvement in both her smile and facial profile.
FAQs
Frequently Asked Questions
Check out these frequently asked questions, or call us to speak with our team.
If your child is showcasing one or more of the following signs & symptoms, they may be a good candidate for early interceptive orthodontic treatment:
- Underbites
- Crossbites
- Crowded teeth
- Excessively gapped teeth
- Extra or missing teeth
- Excessive thumb, finger, or pacifier sucking
Our team is happy to work directly with you and your child to assess these symptoms before they become severe issues over time.
Early treatment can be in a patient’s best interest if their problem is one that could worsen over time and cause severe dental and skeletal issues in adulthood if left untreated. The goal of early treatment is to recognize and eliminate these problems as early as possible, so a child’s teeth and jaw can properly grow and maintain space for incoming adult teeth.
While many orthodontic problems are inherited, some are caused by common habits over time, such as thumb sucking, finger sucking, or excessive pacifier use. Other factors such as mouth breathing, dental disease, abnormal swallowing, poor dental hygiene, or early or late loss of baby teeth, accidents, and poor nutrition can alter your child’s teeth and jaw alignment. No matter the cause, our team will cater to your child’s unique needs and teach them healthy habits for a lifetime of optimal oral health.
The American Association of Orthodontists recommends that your child’s first check-up should take place before the age of 7. By the age of 7, or when the first adult teeth start erupting into the mouth. This provides your orthodontist with plenty of information to give your child tailored treatment.
The cost of early interceptive orthodontics is different for each patient. Factors that may affect the cost include the severity of your child’s teeth misalignment, appointment and visits, insurance type, and more. The best way to find out how much you’ll pay for your child’s early interceptive orthodontics is to schedule a consultation with your orthodontist.
